Personalised longevity for modern life
Expert-guided insight to help you prevent disease, optimise wellbeing, and protect your long-term health




I wanted to get to the root cause and fix it. With Everlab, I'm finally doing exactly that.”
Will Cullen
Everlab member since June 2025

Start with your
Baseline Risk Assessment
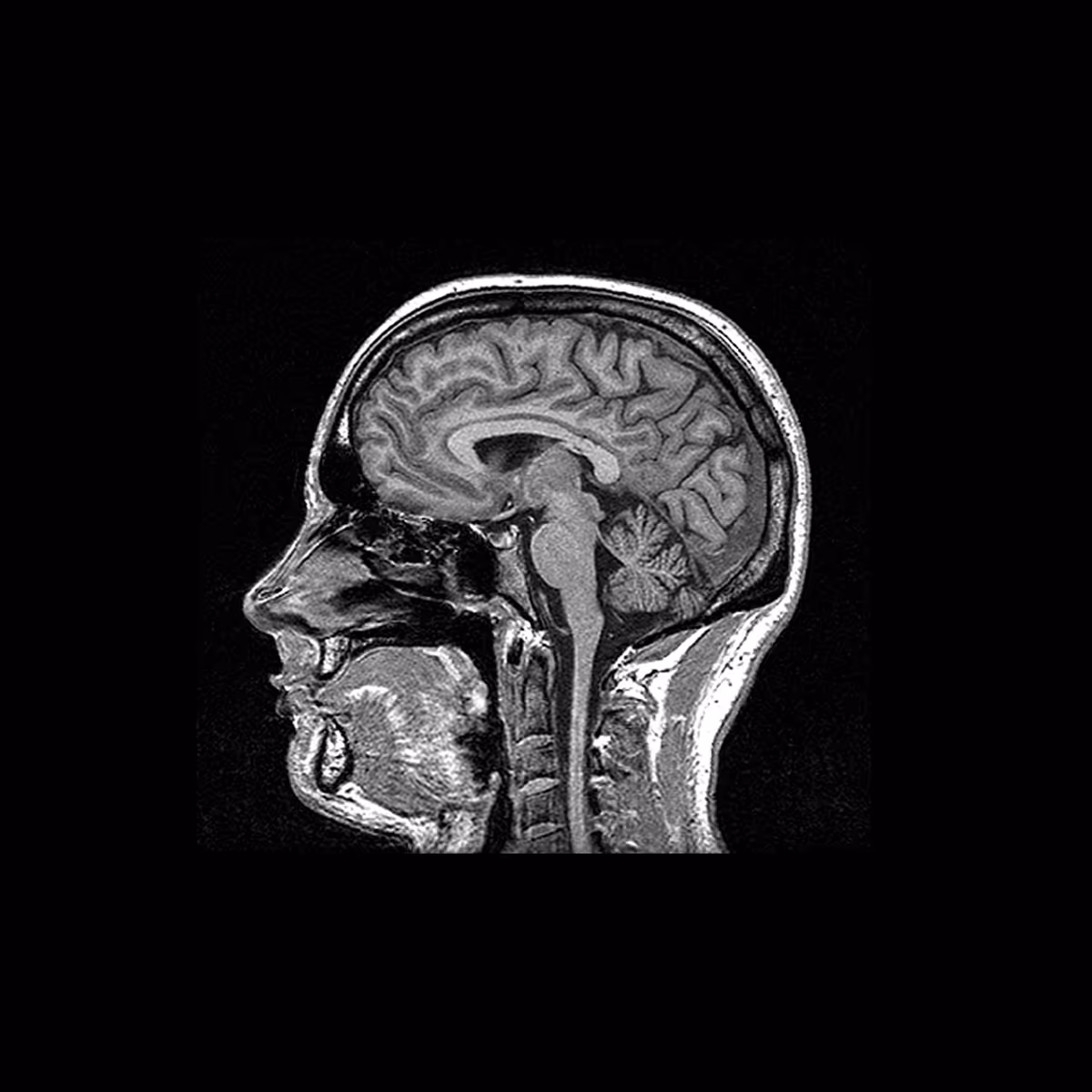
Your program begins with a Baseline Risk Assessment — the critical first step to a clear, data-driven view of your risks. It provides focus and helps your doctor shape your personalised diagnostics plan.
if you are not happy with the outcome of your health baseline.
Diagnostics Record Gathering
A consolidated view of 20 years of Australian medical data.
Risk and
Optimisation Analysis
Risk and Optimisation Analysis
AI-powered insights on areas of risk and opportunity.
Longevity Doctor Review
30 minute consult to understand your baseline and finalise your plan.
Exclusive App Access
Your entire health history all in one place with the Everlab app.
Why your health baseline is an essential first step.
Human health is unique and your diagnostic plan should be too.
Identifying trends in your baseline shows us exactly where to focus.
Meet your doctor for clarity and confidence before committing to your plan.
if you are not happy with the outcome of your health baseline.

Build your custom health plan
No obligations today – discuss your program with your doctor and finalise it together
custom plan

“I’m looking for a comprehensive health checkup to make sure I stay healthy and present as a new dad”.
Plan & goals
custom plan

“I want to protect my long-term health and avoid the same outcome my father faced.”
Plan & goals
custom plan

“I want to make sure my body is prepared for any challenges to come.”
Plan & goals
Using your baseline, your doctor creates a personalised plan with action items based on your history, risks, and goals.
You choose what works for you.
Your plan building blocks
Select from our expertly curated programs, or design a plan that’s uniquely yours.

Advanced labs, imaging, and expert review to identify risks and drive targeted health improvements.

End-to-end diagnostics with physical and nutrition assessment plus ongoing testing to measure progress.
Everlab member since March 2025
Diagnostics, results, and progress tracking
Complete your diagnostics, review your results with your doctor, and continue optimising your health with periodic re-testing and updates to your protocol.

Complete your testing
Targeted diagnostics tailored to your goals, history and risk profile.
Effortless booking in the Everlab app with support from the care team
Access 1,850+ vetted diagnostic facilities nationwide.
Review with an expert
A clear results overview with your doctor explaining key biomarkers.
Priority areas highlighted so you know exactly where to focus.
Improvement opportunities showing where to optimise or reduce risk.


Get a clear action plan
A personalised optimisation plan to improve markers and trends.
Lifestyle guidance across exercise, nutrition, sleep and recovery.
Targeted supplement and medical support, when needed.
Track your progress over time
In-app progress tracking for biomarkers, habits, goals and adherence.
Re-testing at milestones to measure progress and refine your plan.
Doctor-led trend analysis to adjust your protocol as your needs evolve.

10,000+ Australians have seen meaningful health improvements within just six months
Health Baseline
and Risk Assessment
Health Baseline
and Risk Assessment
$299
if you are not happy with the outcome of your health baseline.
Take control of your health.
Frequently Asked Questions
Find answers to common questions.
Everlab gives you a clear, expert-guided understanding of your health—starting with your history and evolving into a personalised plan.
1. Build your baseline
We gather your past records and review them with a longevity doctor to define your risks, strengths, and priorities.
2. Get your personalised plan
Your doctor creates a tailored plan with recommended diagnostics and clear next steps. You choose what to proceed with.
3. Complete diagnostics
Book tests through the Everlab app. Your doctor reviews your results and updates your plan with targeted guidance.
4. Ongoing support
Your Everlab dashboard tracks your data, insights, and re-testing so you can monitor progress over time.
We offer the most comprehensive range of head-to-toe diagnostics in Australia—covering heart health, metabolic function, autoimmune conditions, kidney and liver health, hormones, bone and muscle health, aerobic capacity, cancer and more.
The specific tests you receive will vary depending on the plan you and your doctor create based off your health risk baseline.
View the complete list of biomarkers we have available to test here.
The program begins with your Health Strategy Consult and Baseline Risk Assessment. Before your session, we gather and organise your past medical records—including blood tests, imaging, and diagnostic history—to create a clear, unified view of your health.
During your consultation, your Everlab doctor will:
- Review your historical results and show you key biomarker trends
- Benchmark your health data against personalised factors such as age, gender, ethnicity, and medical history
- Identify any elevated risks and explain your overall risk profile
- Recommend the most relevant diagnostic assessments based on your needs and goals
This first step gives you a data-driven understanding of your current health and expert guidance on what to do next. If you choose to move forward, your doctor’s recommendations will form a personalised testing plan designed to support your preventative and longevity goals.
Once you join Everlab, our team begins manually collecting and mapping your past medical records with your consent. We contact providers you've tested with in the past to gather available information. Your doctor will then help guide the process to request additional records, especially those that are harder to access, to ensure the most complete view of your health.
Testing usually kick off within a week after your Health Strategy Consult with your doctor. Most people complete their initial testing within 2-4 weeks of starting their program.
Once your testing is complete, that’s when the real magic begins. Your Everlab care team—which includes your doctor, nutritionist, and coach—will come together to interpret your results and design a personalised health protocol, which becomes your action plan.
This protocol may include:
- Targeted supplementation to address any deficiencies or optimise specific biomarkers
- Medications, if clinically necessary and agreed upon with your doctor
- Lifestyle recommendations—like changes to your sleep, nutrition, movement, or stress management habits
- Ongoing tracking via your Everlab app
We’ll guide you step-by-step through what to do, why it matters, and how to stay on track.
You don’t need a doctor’s referral to participate in the Everlab program. Should you need referrals in the course of your program your assigned medical team will refer you to any specialists you may need as part of your health journey.
All tests covered by Medicare are already included in the price. The price you pay is the total out of pocket cost.
The Everlab program is available in NSW, VIC, QLD, SA, ACT and WA.
Everlab partners with multiple diagnostic facilities in each state, giving you flexibility and convenience when completing your tests.
Once you join the program, we’ll guide you to book your tests at the location nearest to you.
You can find a list of every diagnostic facility here.
The Everlab program is currently not available if you:
- Are under 18 years of age
- Are undergoing cancer treatment
- Are currently pregnant
- Are unable to travel to one of our diagnostic labs
If you don’t meet any of these criteria, you can join the Everlab program. We will be expanding our scope of practice in the future.
.webp)



















.webp)









